08:54

Пульса нет вообще, а вместо сердца — два пламенных мотора: в России впервые пациенту имплантировали оба желудочка

  1. Россия и мир
Пульса нет вообще, а вместо сердца — два пламенных мотора: в России впервые пациенту имплантировали оба желудочка - Новости Калининграда | Фото: Комитет по здравоохранению Санкт-Петербурга
Фото: Комитет по здравоохранению Санкт-Петербурга

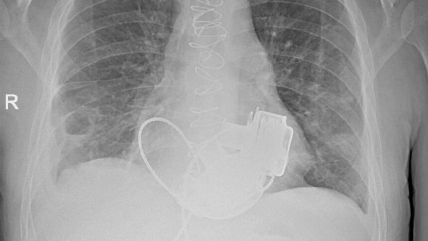
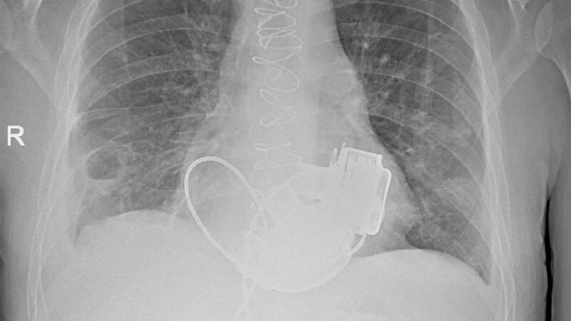
В Санкт-Петербурге врачи готовят к выписке пациента, который теперь живёт без пульса. В конце ноября 2025 года 36-летнему мужчине имплантировали одновременно левый и правый искусственные желудочки сердца. Об этом рассказали в городском комитете по здравоохранению.

По словам главного врача Мариинской больницы Игоря Реутского, когда Антон поступил в стационар, показатели работы сердца были такими, будто человек уже не жив, а мёртв. При этом из-за сопутствующих осложнений трансплантация сердца была невозможна.

«Операция продолжалась около 4 часов. Для наших специалистов самым сложным было синхронизировать работу двух искусственных желудочков сердца, но с этой задачей мы успешно справились. Это доказывает высокий уровень развития кардиохирургии в нашем городе». — отметил главный внештатный специалист по сердечно-сосудистой хирургии Санкт-Петербурга Геннадий Хубулава.

Врачи надеются теперь вновь встретиться с Антоном, так как имплантация искусственных желудочков — «мостик» к трансплантации сердца, которую пациент теперь сможет дождаться. 

Калининградские кардиологи перекроили пациенту сердце, которое работало только на 30%.

Подарки на 8 марта
Читать